Watch Now
What Makes bright 3-Layer Different?
The strategic layering of the block delivers natural esthetics with glazing alone, eliminating the need for additional staining.
The incisal and body layers are designed with a height of 4.3 mm, ensuring uniform and predictable results every time.
With 49% translucency at the incisal edge and a cervical layer strength of 950 MPa, this block is well suited for highly esthetic restorations.
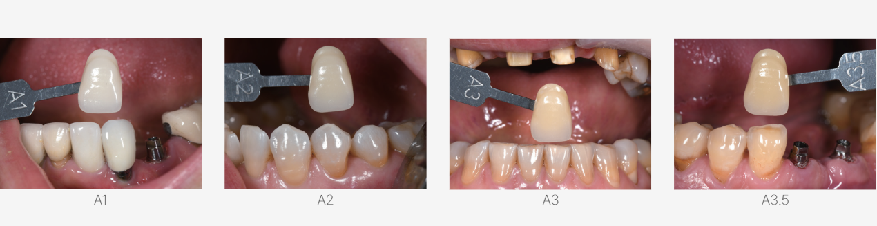
Intuitive Shade Selection
bright 3-Layer is designed with the body layer shade precisely matched to the shade guide, enabling intuitive shade selection and delivering lifelike, natural tooth color reproduction.
Interlayer Sintering Stability
bright 3-Layer minimizes interlayer delamination by maintaining a shrinkage difference of ≤0.05% between layers, ensuring exceptional structural stability.
Even with a multilayer block, it supports stable and reliable sintering in daily lab workflows.
bright 3-Layer is engineered to deliver consistent sintering stability, giving dental laboratories confidence in every case.
Anterior Esthetic Performance
With a cervical layer strength of 1,050 MPa and 49% translucency at the incisal edge, this block delivers natural and refined esthetics for anterior restorations while providing reliable durability to withstand occlusal forces in posterior applications.
Its balanced design makes it suitable for a wide range of indications, including fabrication of up to 4-unit bridges.




